Explorar as diversas especializações em medicina veterinária é essencial para estudantes e recém-formados que buscam aprofundar seus conhecimentos e habil ...
-
-
A Telemedicina Veterinária representa uma inovação significativa na forma como cuidamos de nossos animais de estimação, oferecendo uma alternativa conveni ...
-
A busca pela especialização em medicina felina, tem crescido no país, acompanhando os números do mercado pet. Nos últimos anos, a população de gatos em la ...
-
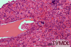
Os vírus da reticuloendoteliose (VER) podem infectar galinhas, perus, patos, gansos e codornas. A doença clínica mais comum são os linfomas e a doença “pe ...
-
A Pneumovirose (APV) foi inicialmente conhecida como vírus da rinotraqueíte dos perus (TVT). Patógeno primário em peru, sendo causa de rinotraqueíte dos p ...
-
A Laringotraqueíte Infecciosa Aviária (LTI)é uma doença de notificação compulsória (OIE) é uma enfermidade de importância econômica e sanitária. Doença re ...
-
Enterotomia A enterotomia é a incisão nos intestinos. As incisões longitudianais ou transversas da enterotomia podem ser realizadas a fim de coletar amost ...
-
A leucose aviária compreende uma divisão do grupo leucose/sarcoma aviário, composto por várias enfermidades neoplásicas causadas por vírus da família Retr ...
-
Estimativa pode ser, intercensitária, quando pretende a estimativa localiza-se entre os dois censos, pós -censitária, quando pretende a estimativa localiz ...



Comments